ВЕРСИЯ ДЛЯ СЛАБОВИДЯЩИХ

СТОМАТОЛОГИЧЕСКИЕ УСЛУГИ ДЛЯ ВСЕЙ СЕМЬИ В КРАСНОЯРСКЕ

Осмотр + консультация
врача-стоматолога =

2000 рублей*

УСЛУГИ

КОНСУЛЬТАЦИЯ, ДИАГНОСТИКА
ПРОФИЛАКТИКА
ОТБЕЛИВАНИЕ ЗУБОВ
ТЕРАПЕВТИЧЕСКИЕ УСЛУГИ
ОРТОПЕДИЧЕСКИЕ УСЛУГИ
ХИРУРГИЧЕСКИЕ УСЛУГИ
ОРТОДОНИЯ
ИМПЛАНТАЦИЯ

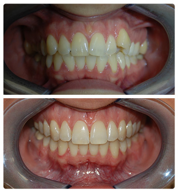
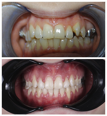
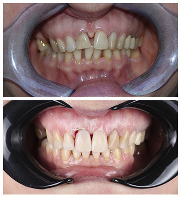
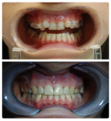
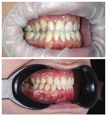
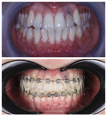
РЕЗУЛЬТАТЫ,
КОТОРЫХ МЫ ДОБИЛИСЬ

ДО
ПОСЛЕ
ДО
ПОСЛЕ
ДО
ПОСЛЕ
ДО
ПОСЛЕ
ДО
ПОСЛЕ
ДО
ПОСЛЕ

ПРЕИМУЩЕСТВА ЛЕЧЕНИЯ У НАС

Передовые технологии
Индивидуальный подход
Грамотные специалисты
Комплексный план лечения
ОТЗЫВЫ
ОТЗЫВЫ
E.G..
26 октября 2018
Обратилась в клинику по рекомендации, так как врачи этого центра помогли многим моим знакомым. Я уже проходила лечение
бредёт-системой в другой клинике, к сожалению, знаний доктора не хватило, чтобы мне помочь и все вернулось обратно.

Сначала обратилась за консультацией. Клиника очень опрятная и чистая, приветливый администратор и вкусный кофе. Я была записана к ортодонту, потребовалась консультация других докторов и они тоже сразу меня посмотрели, не пришлось записываться дополнительно.

Очень понравился подход, для врача не главное «продать» мне брекеты и поставить зубы ровно на какой-то срок , как в прошлый раз. Мы разобрались в причинах нарушения прикуса и последствиях для организма (головные боли). Сейчас я подхожу к предстоящему лечению более осознанно и понимаю все этапы: в этой же клинике пролечила и почистила зубы, все качественно и без проблем. Сейчас лечусь каппой - это подготовка к брекет-системе. В другие клиники больше ни ногой и уверена, что в этот раз все пройдёт успешно, потому что эти доктора не продают услуги, а лечат людей.
ОТЗЫВЫ
E.G..
26 октября 2018
Обратилась в клинику по рекомендации, так как врачи этого центра помогли многим моим знакомым. Я уже проходила лечение
бредёт-системой в другой клинике, к сожалению, знаний доктора не хватило, чтобы мне помочь и все вернулось обратно.

Сначала обратилась за консультацией. Клиника очень опрятная и чистая, приветливый администратор и вкусный кофе. Я была записана к ортодонту, потребовалась консультация других докторов и они тоже сразу меня посмотрели, не пришлось записываться дополнительно.

Очень понравился подход, для врача не главное «продать» мне брекеты и поставить зубы ровно на какой-то срок , как в прошлый раз. Мы разобрались в причинах нарушения прикуса и последствиях для организма (головные боли). Сейчас я подхожу к предстоящему лечению более осознанно и понимаю все этапы: в этой же клинике пролечила и почистила зубы, все качественно и без проблем. Сейчас лечусь каппой - это подготовка к брекет-системе. В другие клиники больше ни ногой и уверена, что в этот раз все пройдёт успешно, потому что эти доктора не продают услуги, а лечат людей.
ОТЗЫВЫ
Кристина Нипа
26 октября 2018
Яна Александровна самый лучший ортодонт в мире.

Меня восхищает ее профессионализм. Внимательная, заботливая, бережная, если бы стоматологи были как она, то не было бы недовольных пациентов.

Когда я пришла к ней с неправильным прикусом, я и представить не могла что она превратит такое в потрясающую улыбку, да ещё и за такой небольшой срок ношения брекетов! Занималась с моими зубами как со своими. Умничка, грамотная, аккуратная. Огромное спасибо. Вы моя зубная фея.

Благодаря Вам, я теперь могу улыбаться и смеяться чаще)
Брекеты носить это круто и модно! Большой Вам респект за работу с моими корявыми зубами

P.S. Нету хороших врачей и плохих, есть Ваш доктор или не Ваш
ОТЗЫВЫ
Eleonora Karelina
27 октября 2018
Центр Функциональной Стоматологии полностью оправдывает своё название - комплексный подход к решению проблемы пациента. На входе встречают приветливые администраторы, которые всегда предложат чашечку кофе или чая. А на приём специалисты высокого уровня, прекрасно разбирающиеся в своём деле.

Прохожу ортодонтическое лечение у Яны Александровны Цыбенко. Первое положительное впечатление - это то, что врач никак на меня не давила при выборе брекет-системы ( на ход и результаты лечения это не влияет, а вот на финансовую сторону вопроса да), а просто объяснила мне все плюсы и минусы каждой и предоставила выбор мне. Все нюансы и детали, этапы лечения подробно и доступно изъясняются, что важно. У ортопеда клиники Светланы Николаевны Токминой протезировались мои родители. Качественные работы, которые служат им до сих пор.

Рекомендую данную клинику. Профессионалы в своём деле.
ОТЗЫВЫ
Artolo
10 ноября 2018
Нахожусь на этапе ортодонтического лечения, мой врач Яна Александровна Цыбенко, доходчиво объясняет, что к чему и от чего происходит, даёт рекомендации, которым я следую и моя не самая простая ситуация вполне очевидно становится всё лучше от приема к приему! Отдельное спасибо ассистенту Яны Александровны, Маргарите - важный человек на приёме.

Нравится то, что подход к оказанию помощи осуществляется комплексно, а не опирается лишь на положение зубов. Под комплексным подходом я подразумеваю внимание к ВНЧС, к примеру, поскольку важна не только эстетическая сторона здоровья зубов, но и функциональная.

В целом о клинике благоприятное впечатление: аккуратный вход и заметная вывеска, первым делом встречаешь приятный аромат и следом улыбку администратора. Но самое главное - это клинический опыт и внимание врачей. В клинике оказывается весь необходимый спектр стоматологической помощи: от гигиены до имплантации и зубного протезирования.

ОТЗЫВЫ
Mi Mi
26 сентября 2019
Фантастически крутая клиника,с несомненно лучшими профессионалами своего дела.

Прохожу ортодонтическое лечение у Яны Александровны,доктор от Бога. А мне есть с чем сравнить. Была прежде на лечении у другого ортодонта и пришла с просьбой сделать что нибудь,чтобы улыбка наконец таки стала красивой.

В процессе лечения необходимым было удалить зуб мудрости,была напугана отзывами,и готовилась к чему то страшному,оказалось всё абсолютно безболезненно(в моем случае) и быстро. никаких последствий и дискомфорта не ощутила вообще,даже не верится.

В общем всем рекомендую доверять свои зубки этому месту.
Администратор Татьяна и ассистент,вам отдельное спасибо.

ОТЗЫВЫ
Mi Mi
26 сентября 2019
Фантастически крутая клиника,с несомненно лучшими профессионалами своего дела.

Прохожу ортодонтическое лечение у Яны Александровны,доктор от Бога. А мне есть с чем сравнить. Была прежде на лечении у другого ортодонта и пришла с просьбой сделать что нибудь,чтобы улыбка наконец таки стала красивой.

В процессе лечения необходимым было удалить зуб мудрости,была напугана отзывами,и готовилась к чему то страшному,оказалось всё абсолютно безболезненно(в моем случае) и быстро. никаких последствий и дискомфорта не ощутила вообще,даже не верится.

В общем всем рекомендую доверять свои зубки этому месту.
Администратор Татьяна и ассистент,вам отдельное спасибо.

ОТВЕТЫ НА ЧАСТО ЗАДАВАЕМЫЕ ВОПРОСЫ

Оставьте заявку прямо сейчас
и мы составим для Вас индивидуальный комплексный план лечения БЕСПЛАТНО

О КОМПАНИИ

ПРИГЛАШАЕМ ВАС В МИР
СОВРЕМЕННОЙ СТОМАТОЛОГИИ!
Для получения отличного результата в любой области медицины совершенно необходимы знания и золотые руки. Ну а если это стоматология - то ещё и высококлассное оборудование и материалы. Уровень профессиональной подготовки наших врачей и использование передовых технологий позволяют уверенно заявить о себе.

Мы предлагаем вам как относительно недорогие, так и эксклюзивные виды лечения. Но в любом случае вы получите результат высокого качества, обусловленный индивидуальным и ответственным подходом со стороны профессионалов, строгим контролем за соблюдением технологий и норм на каждом этапе выполнения работы. Самое важное для нас - Ваши благодарные отзывы.

Мы лечим в уютной обстановке, и без боли, обеспечиваем абсолютную защиту пациента и врача от инфекции, предоставляем Вам спектр стоматологической помощи на основе передовых технологий и современных материалов ведущих фирм мира.
Мы постоянно развиваемся, но уже сейчас стоматологическая помощь, оказываемая, охватывает все достижения мировой стоматологии XXI века. Наши сотрудники систематически повышают свою квалификацию по программам ведущих российских и зарубежных стоматологических центров. У нас есть самые современные материалы, новейшее оборудование и самое главное- доброжелательный коллектив.

Стаж работы врачей от 8-30 лет.
Эффективность, качество и индивидуальный подход к каждому пациенту. Врачи клиники постоянно проходят самые современные концепции технологии лечения в стоматологии в Москве,Санкт-Петербурге,Италии. (Prof.MarianoRocobado, Dr Lorenco Vanini, профессора Димитриса Мавреас, Prof.Jeffrey P. Okeson D.M.D, Доминго Мартин, и многие др)

НАШИ СОТРУДНИКИ

ЦЫБЕНКО
Яна Александровна
врач - ортодонт,
врач - стоматолог - ортопед
ТОКМИНА
Светлана Николаевна
врач - стоматолог - ортопед
ДИЛЬ
Елена Андреевна
врач - стоматолог - терапевт
ШИШЛОВ
Павел Александрович
врач - стоматолог - хирург
ТУРОВСКАЯ
Екатерина Николаевна
администратор
ХАЙРУЛИНА
Татьяна Юрьевна
администратор
ЦЫБЕНКО
Мария Александровна
ассистент стоматолога
КРИВОПУСК
Юлия Александровна
ассистент стоматолога
ОЛОВЯННИКОВ
Артем Витальевич
врач - стоматолог - ортодонт
ТРОЯН
Анастасия Сергеевна
ассистент врача стоматолога
ВАКАНСИИ
Требуется ассистент врача стоматолога.
Можно совместительство, рассмотрим студентов мед института.
График скользящий.
З/П от 30.000 руб.
Резюме присылать на эл.почту